歯のマニキュア・
ホワイトコート
キャンペーン
歯のマニキュア・
ホワイトコートキャンペーン
9.1(Mon.)〜12.29(Mon.)
選べる2種類のカラー
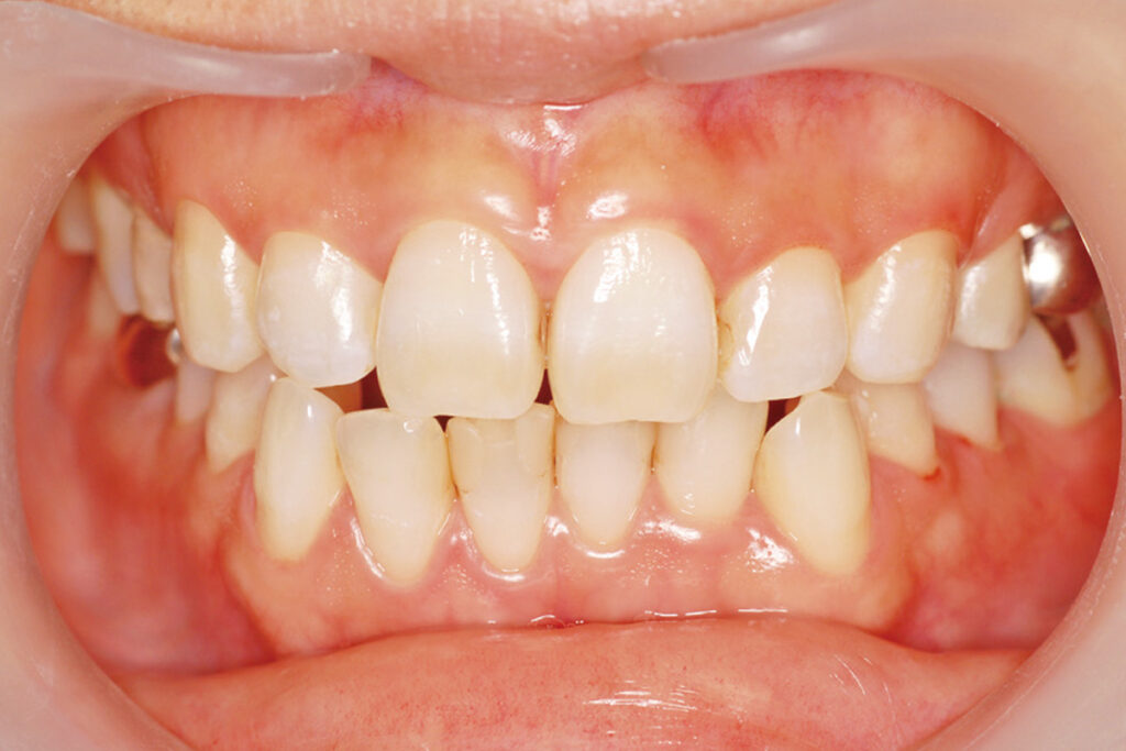
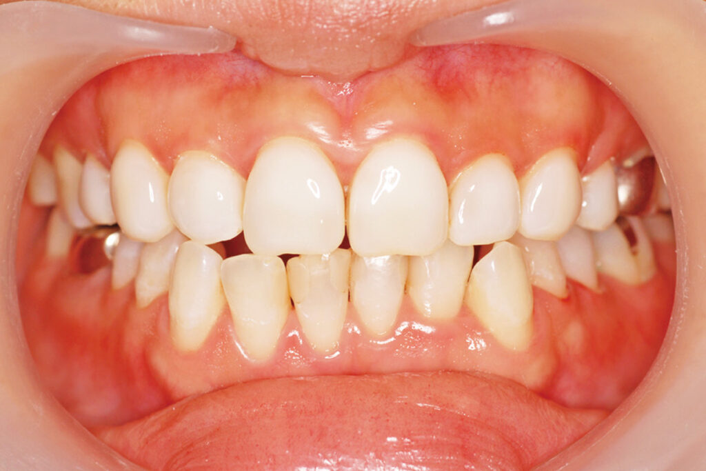
ナチュラルな自然な色
ナチュラルにトーンアップしたい方におすすめ
Before

After

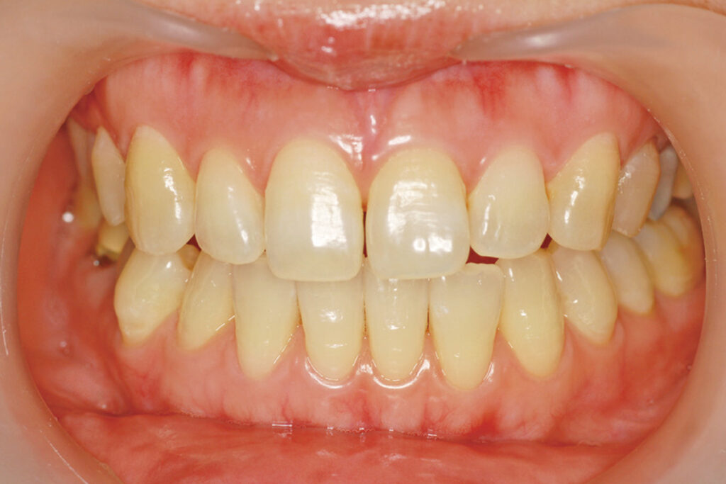
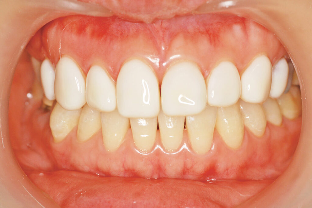
写真映えする白めな色
白い歯にしたい方、明るくクリアな白さを
目指したい方におすすめ
Before

After

キャンペーン内容
上の前歯8本
定価29,700円
→13,200円(税込)
※初診・既存のすべての患者様が対象
※在庫が無くなり次第、早期終了となる場合がございます。
その他のキャンペーンについて
当院では2025年11月〜2026年2月まで、
歯のマニキュア・ビューティコート、
スーパーエナメル、ホワイトニング、PMTCの
キャンペーンを実施しています。